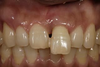
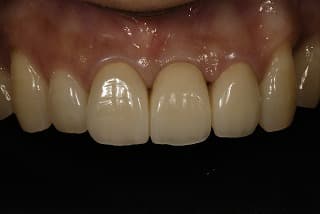
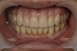
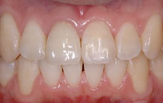
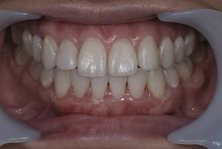
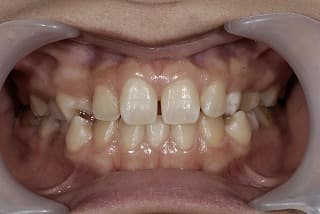
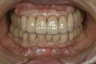
症例1
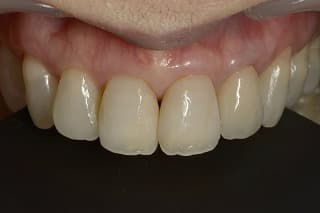
歯肉移植・オールセラミックブリッジ・ホワイトニングにより治療
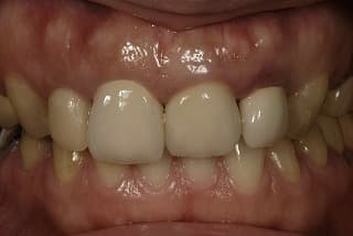
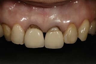
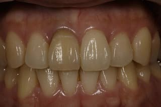
歯肉移植・オールセラミックブリッジ・ホワイトニングにより治療


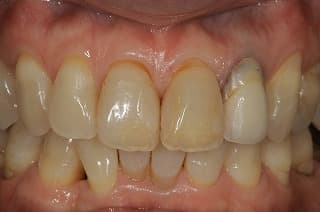
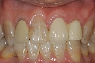
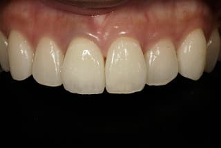
全顎矯正・歯肉移植・オールセラミックブリッジ・ホワイトニングにより治療


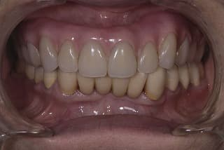
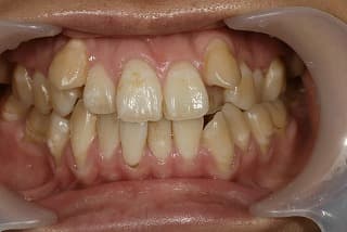
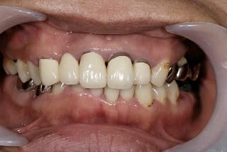
部分矯正・骨移植・メタルセラミックブリッジにより治療


全顎矯正・インプラントにより治療


インプラント・オールセラミックにより治療


歯周外科・オールセラミック・ホワイトニングにより治療


歯肉移植・オールセラミック・ホワイトニングにより治療


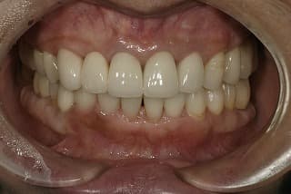
オールセラミック・ホワイトニングにより治療


オールセラミック・インプラント・ホワイトニングにより治療


歯周組織再生療法・全顎矯正・インプラント・ホワイトニングにより治療


歯周組織再生療法・セラミック・義歯により治療


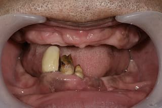
歯周組織再生療法・歯肉移植・インプラント・セラミック・義歯により治療


歯肉移植・インプラント・セラミック・義歯により治療


歯肉移植・インプラント・セラミック・義歯により治療


歯肉移植・インプラント・セラミック・義歯により治療


歯肉移植・インプラント・義歯により治療


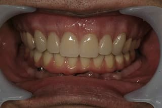
骨移植・オールセラミック・ホワイトニングにより治療


全顎矯正・歯肉移植・オールセラミックにより治療


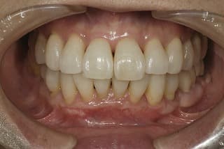
オールセラミック・ホワイトニングにより治療


全顎矯正・歯肉移植・ホワイトニングにより治療


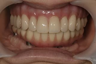
全顎矯正・歯周組織再生療法・歯肉移植・インプラント・オールセラミック


全顎矯正・歯肉移植・インプラント・セラミッ ク・ホワイトニング


全顎矯正・インプラント・ホワイトニング


骨移植・歯肉移植・部分矯正・セラミック・インプラント

